Câncer de Pâncreas
O câncer de pâncreas é um tipo de câncer que se desenvolve nos tecidos do pâncreas, um órgão localizado atrás do estômago que desempenha um papel crucial na digestão e na regulação dos níveis de açúcar no sangue. Este tipo de câncer é conhecido por sua agressividade e dificuldade de diagnóstico precoce.
Incidência
O câncer de pâncreas é o décimo segundo tipo de câncer mais comum no mundo, mas é uma das principais causas de morte por câncer devido ao seu diagnóstico tardio. No Brasil, é o quarto câncer mais comum do sistema digestivo. A maioria dos casos ocorre em pessoas acima dos 60 anos, embora possa afetar adultos de qualquer idade.
Principais Sinais e Sintomas
Os sintomas do câncer de pâncreas podem ser vagos e só se manifestam quando a doença já está avançada. É importante estar atento aos seguintes sinais e sintomas:
Dor abdominal ou nas costas: Dor persistente na parte superior do abdômen que pode irradiar para as costas.
Icterícia: Amarelamento da pele e dos olhos, frequentemente acompanhado por escurecimento da urina e fezes esbranquiçadas.
Perda de apetite e perda de peso inexplicável: Diminuição do apetite e perda de peso sem causa aparente.
Náuseas e vômitos: Sensação constante de náusea e episódios de vômito.
Mudanças nos hábitos intestinais: Diarreia ou constipação frequente.
Coceira na pele: Sensação de coceira, geralmente associada à icterícia.
Fadiga: Sensação constante de cansaço e fraqueza.
Tratamento
O tratamento do câncer de pâncreas depende do estágio da doença, da localização do tumor e da saúde geral do paciente. As principais opções de tratamento incluem:
Cirurgia: A cirurgia é a única opção potencialmente curativa para o câncer de pâncreas. Os procedimentos cirúrgicos incluem:
Pancreatoduodenectomia (procedimento de Whipple): Remoção da cabeça do pâncreas, parte do intestino delgado, vesícula biliar e ducto biliar. É o tipo de cirurgia mais comum para tumores localizados na cabeça do pâncreas.
Pancreatectomia distal: Remoção do corpo e cauda do pâncreas, geralmente incluindo a remoção do baço.
Pancreatectomia total: Remoção completa do pâncreas, realizada em casos mais extensivos.
Quimioterapia: Uso de medicamentos para destruir células cancerígenas. Pode ser administrada antes da cirurgia (neoadjuvante) para reduzir o tamanho do tumor ou após a cirurgia (adjuvante) para eliminar células cancerígenas remanescentes.
Radioterapia: Utilização de radiação para destruir células cancerígenas, frequentemente combinada com a quimioterapia.
Terapias-alvo: Tratamentos que atacam especificamente as células cancerígenas. Exemplos incluem inibidores de PARP para pacientes com mutações específicas.
Imunoterapia: Tratamentos que fortalecem o sistema imunológico para combater o câncer, uma área de pesquisa em expansão para o câncer de pâncreas.
A Importância do Tratamento Cirúrgico
A cirurgia é a principal abordagem curativa para o câncer de pâncreas e oferece a melhor chance de prolongar a vida do paciente. A remoção do tumor e de partes do pâncreas e dos tecidos circundantes pode ser potencialmente curativa, especialmente em estágios iniciais. Mesmo em casos mais avançados, a cirurgia pode ajudar a aliviar sintomas e melhorar a qualidade de vida.
O câncer de pâncreas é uma doença grave que requer diagnóstico e tratamento precoces para melhorar as chances de sucesso. Os pacientes devem estar atentos aos sinais e sintomas e buscar atendimento médico imediato se houver suspeita de problemas no pâncreas. O tratamento cirúrgico é essencial para o manejo eficaz da doença e oferece a melhor oportunidade de cura. Consultas regulares com um médico e exames de rotina são importantes para a detecção precoce. Se você tiver qualquer sintoma ou preocupação, não hesite em procurar orientação médica.


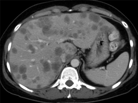
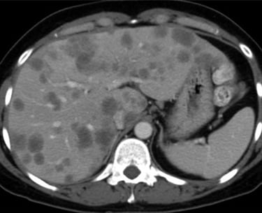
Câncer de Fígado
O câncer de fígado pode ser primário, quando se origina no próprio fígado, ou secundário, quando se trata de uma metástase de outro câncer, como o câncer colorretal que se espalha para o fígado. O carcinoma hepatocelular (CHC) é o tipo mais comum de câncer primário do fígado.
Incidência
O câncer de fígado é o sexto tipo de câncer mais comum no mundo e a terceira causa mais comum de morte por câncer. A incidência é maior em regiões onde a hepatite B e C são prevalentes, como na Ásia e na África. No Brasil, a incidência está aumentando, em parte devido à obesidade e ao diabetes, que são fatores de risco para a doença hepática gordurosa não alcoólica (NAFLD) e, consequentemente, para o câncer de fígado.
Principais Sinais e Sintomas
Os sintomas do câncer de fígado podem ser sutis e inespecíficos nos estágios iniciais. À medida que a doença progride, os sintomas podem incluir:
Perda de peso inexplicável: Perda de peso significativa sem mudanças na dieta ou nos exercícios.
Fadiga e fraqueza: Sensação constante de cansaço e falta de energia.
Dor abdominal: Desconforto ou dor no abdômen superior direito.
Icterícia: Amarelamento da pele e dos olhos.
Inchaço abdominal: Aumento do volume abdominal devido à ascite (acúmulo de líquido).
Náuseas e vômitos: Sensação constante de náusea e episódios de vômito.
Perda de apetite: Diminuição do apetite e sensação de saciedade precoce.
Tratamento
O tratamento do câncer de fígado depende do estágio da doença, da função hepática, da localização do tumor e da saúde geral do paciente. As principais opções de tratamento incluem:
Cirurgia: A cirurgia é uma das principais opções de tratamento para o câncer de fígado, especialmente quando o tumor é ressecável.
Ressecção Hepática: Remoção da parte do fígado onde o tumor está localizado. Pode ser uma opção curativa para tumores pequenos e em estágio inicial.
Transplante de Fígado: Substituição do fígado doente por um fígado saudável de um doador. Indicado para pacientes com doença hepática em estágio inicial e cirrose avançada.
Ablação: Métodos que destroem o tumor diretamente, como radiofrequência ou micro-ondas.
Embolização: Procedimentos como a embolização transarterial (TAE) ou quimioembolização transarterial (TACE), que bloqueiam o suprimento de sangue ao tumor.
Terapia Sistêmica: Inclui quimioterapia, terapia-alvo (como inibidores de tirosina-quinase) e imunoterapia.
Radioterapia: Uso de radiação para destruir células cancerígenas, embora seja menos comum no tratamento do câncer de fígado.
O Papel do Cirurgião no Câncer Colorretal Metastático para o Fígado
O câncer colorretal frequentemente se espalha para o fígado, e a metástase hepática é uma complicação comum e séria. A intervenção cirúrgica desempenha um papel crucial no manejo dessas metástases. O tratamento cirúrgico pode oferecer uma chance significativa de cura ou prolongamento da sobrevivência para pacientes com metástases hepáticas ressecáveis.
Tratamento Cirúrgico das Metástases Hepáticas
Ressecção Hepática Metastática: A remoção cirúrgica das áreas do fígado afetadas por metástases colorretais. Pode ser realizada em pacientes com um número limitado de metástases e função hepática adequada.
Terapias Combinadas: A cirurgia é frequentemente combinada com quimioterapia neoadjuvante (antes da cirurgia) para reduzir o tamanho das metástases, ou adjuvante (após a cirurgia) para eliminar células cancerígenas remanescentes.
Abordagens Minimamente Invasivas: Procedimentos como a ablação por radiofrequência podem ser usados para tratar pequenas metástases, especialmente em pacientes que não são candidatos à cirurgia aberta.
A Importância do Tratamento Cirúrgico
A cirurgia oferece a melhor chance de cura para pacientes com câncer de fígado em estágio inicial e para aqueles com metástases hepáticas de câncer colorretal ressecáveis. A remoção completa do tumor ou das metástases pode levar à remissão da doença e melhorar significativamente a qualidade de vida do paciente. Mesmo em casos avançados, a cirurgia pode ajudar a controlar os sintomas e prolongar a sobrevivência.
O câncer de fígado e as metástases hepáticas do câncer colorretal são condições graves que requerem diagnóstico precoce e tratamento adequado. A cirurgia é uma abordagem fundamental no tratamento dessas doenças, oferecendo a melhor chance de cura e controle da doença. Pacientes devem estar atentos aos sinais e sintomas e procurar atendimento médico imediatamente se houver suspeita de problemas hepáticos. Consultas regulares e exames de rotina são essenciais para a detecção precoce e o tratamento eficaz. Se você tiver qualquer sintoma ou preocupação, não hesite em buscar orientação médica.






CONTATO
© 2025. All rights reserved.


(27) 3346-2010
(27) 3134-6900


(027) 3024-7777




